NHA CHU VÀ PHƯƠNG PHÁP ĐIỀU TRỊ HIỆU QUẢ
I. Nha chu và bệnh nha chu là gì?
Nha chu là tổ chức các mô xung quanh chân răng có chắc năng bảo vệ và nâng đỡ chân răng, giúp răng khỏe mạnh.
II. Bệnh nha chu là gì và tác hại của nó?
Bệnh nha chu là hiện tượng viêm nhiễm các vùng mô xung quanh chân răng. Khi nướu và các mô xung quanh chân răng bị viêm nhiễm, chúng sẽ tách ra khỏi chân răng, chân răng không còn lớp nâng đỡ và bảo vệ, ở xương chân răng cũng bị viêm nhiễm dẫn đến tiêu xương hàm. Cuối cùng là lung lay chân răng và mất răng nếu không điều trị kịp thời.

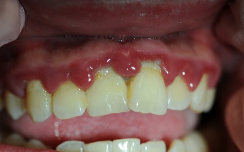
III. Dấu hiệu nhận biết của bệnh nha chu:
Giai đoạn đầu là viêm nướu, gây đau nhức, sưng phù nướu, sau đó bệnh âm thầm phát triển và thể hiện những dấu hiệu rõ rệt:
– Vôi răng xuất hiện nhiều, đặc biệt đóng ở chân răng xâm lấn nướu răng
– Nướu có màu đỏ thẫm, sưng đỏ, có thể xuất hiện ổ nha chu có mủ bên trong
– Hôi miệng
– Răng và nướu trở nên nhạy cảm khi ăn uống thực phẩm quá nóng hoặc quá lạnh
– Răng lung lay
– Nướu răng dễ chảy máu khi ăn uống, xỉa răng, đánh răng
IV. ĐIỀU TRỊ BỆNH NHA CHU TẠI NHA KHOA DENTEL?
Bệnh nha chu thường diễn biến làm 3 giai đoạn nên tuỳ theo tình trạng bệnh lý mỗi giai đoạn mà bác sĩ nha khoa của Nha khoa sẽ áp dụng cách điều trị phù hợp
1. Điều trị không phẫu thuật:
Phương pháp này thường áp dụng cho trường hợp giai đoạn đầu của bệnh nha chu khi tình hình viêm nhiễm chưa gây nên các biến chứng nghiêm trọng cho sức khoẻ răng nướu.
– Bước 1: Bác sĩ sẽ thực hiện các thao tác vệ sinh răng miệng, lấy sạch các phần vôi răng bám tại chân răng, kẽ răng làm láng mặt răng, loại bỏ vi khuẩn tạo điều kiện cho mô nướu lành thương, trở lại trạng thái bình thường lúc chưa bị tổn thương
.jpg)
– Bước 2: Tiến hành phục hình hoặc cố định lại răng (ở những vị trí răng bị lung lay)
2. Điều trị phẫu thuật:
Với các trường hợp Viêm Nha chu đã tiến triển sang giai đoạn 2: Viêm nhiễm năng, hình thành túi nha chu. Răng bắt đầu lung lay và nếu điều trị không phẫu thuật không mang lại hiệu quả thì Tiến hành điều trị phẫu thuật.
Các mô nướu răng, nha chu bị viêm nhiễm sẽ được loại bỏ bằng phương pháp phẫu thuật sau đó túi lợi sẽ được tạo hình lại cho phù hợp với thẩm mỹ
3. Điều trị khẩn cấp:
Điều trị khẩn cấp khi bệnh nha chu diễn biến nặng (giai đoạn 3): xuất hiện các túi nha chu sưng đỏ, có mủ sờ vào rất đau rát ở phần nướu răng, chân răng lung lay mạnh. Lúc này người bệnh nên đến nha khoa càng sớm càng tốt để được chẩn đoán và có kế hoạch điều trị khẩn cấp kịp thời nhằm tránh bị mất răng và làm bệnh lây lan sang các vùng khác trên hàm.